Dental Crown Rough Edges . feeling rough edges, noticing visible cracks, or chips in the crown are clear indicators that the crown may need repair. in summary, yes, a temporary crown can cause pain or discomfort due to sensitivity, rough edges, inadequate fit, or. It sounds unusual that your dentist would say it cannot fit. my dentist told me felt a slight rough edge that was probably irritating the gums. learn about all the possible causes of dental crown tooth pain and how to relieve it. My options were to replace the. You might experience some discomfort after. Crowns should not have jagged edges. One of the most common issues patients encounter after getting a dental crown is discomfort.
from www.youtube.com
learn about all the possible causes of dental crown tooth pain and how to relieve it. feeling rough edges, noticing visible cracks, or chips in the crown are clear indicators that the crown may need repair. in summary, yes, a temporary crown can cause pain or discomfort due to sensitivity, rough edges, inadequate fit, or. my dentist told me felt a slight rough edge that was probably irritating the gums. My options were to replace the. One of the most common issues patients encounter after getting a dental crown is discomfort. Crowns should not have jagged edges. It sounds unusual that your dentist would say it cannot fit. You might experience some discomfort after.
Finish lines in Fixed Partial Denture/ Finish Lines in Tooth
Dental Crown Rough Edges feeling rough edges, noticing visible cracks, or chips in the crown are clear indicators that the crown may need repair. feeling rough edges, noticing visible cracks, or chips in the crown are clear indicators that the crown may need repair. You might experience some discomfort after. My options were to replace the. Crowns should not have jagged edges. It sounds unusual that your dentist would say it cannot fit. One of the most common issues patients encounter after getting a dental crown is discomfort. learn about all the possible causes of dental crown tooth pain and how to relieve it. in summary, yes, a temporary crown can cause pain or discomfort due to sensitivity, rough edges, inadequate fit, or. my dentist told me felt a slight rough edge that was probably irritating the gums.
From blog.brightonimplantclinic.co.uk
Dental Crowns Dental Implants Dental Implants Dental Crown Rough Edges Crowns should not have jagged edges. feeling rough edges, noticing visible cracks, or chips in the crown are clear indicators that the crown may need repair. learn about all the possible causes of dental crown tooth pain and how to relieve it. My options were to replace the. It sounds unusual that your dentist would say it cannot. Dental Crown Rough Edges.
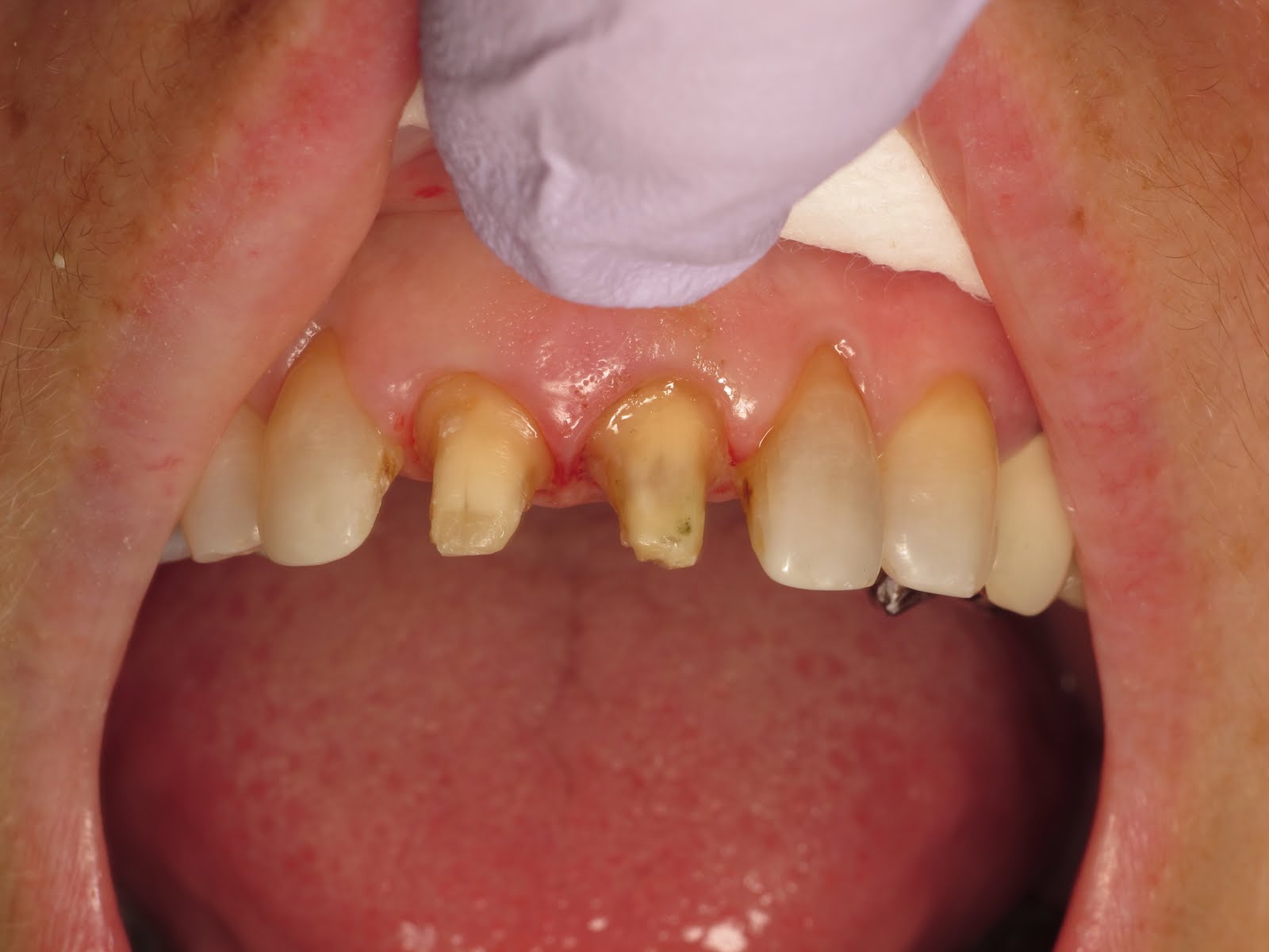
From www.tv.odontologiavirtual.com
ALL CERAMIC ANTERIOR CROWN PREPARATION Step by Step Dr. Peter Grieco Dental Crown Rough Edges You might experience some discomfort after. in summary, yes, a temporary crown can cause pain or discomfort due to sensitivity, rough edges, inadequate fit, or. One of the most common issues patients encounter after getting a dental crown is discomfort. feeling rough edges, noticing visible cracks, or chips in the crown are clear indicators that the crown may. Dental Crown Rough Edges.
From www.researchgate.net
Incisal edges with composite resins performed on teeth No. 7 and No. 10 Dental Crown Rough Edges learn about all the possible causes of dental crown tooth pain and how to relieve it. my dentist told me felt a slight rough edge that was probably irritating the gums. My options were to replace the. You might experience some discomfort after. One of the most common issues patients encounter after getting a dental crown is discomfort.. Dental Crown Rough Edges.
From theelitedental.com
Types Of Dental Crowns Elite Dental Care Dental Crown Rough Edges learn about all the possible causes of dental crown tooth pain and how to relieve it. feeling rough edges, noticing visible cracks, or chips in the crown are clear indicators that the crown may need repair. my dentist told me felt a slight rough edge that was probably irritating the gums. Crowns should not have jagged edges.. Dental Crown Rough Edges.
From allenfamilydentist.com
Allen Dentists Repair Your Smile With Modern Dental Crowns Allen, TX Dental Crown Rough Edges feeling rough edges, noticing visible cracks, or chips in the crown are clear indicators that the crown may need repair. Crowns should not have jagged edges. in summary, yes, a temporary crown can cause pain or discomfort due to sensitivity, rough edges, inadequate fit, or. My options were to replace the. my dentist told me felt a. Dental Crown Rough Edges.
From whitehillsdental.com.au
Dental Crown Treatment Dentist Crowns White Hills, Bendigo Dental Crown Rough Edges feeling rough edges, noticing visible cracks, or chips in the crown are clear indicators that the crown may need repair. My options were to replace the. in summary, yes, a temporary crown can cause pain or discomfort due to sensitivity, rough edges, inadequate fit, or. It sounds unusual that your dentist would say it cannot fit. Crowns should. Dental Crown Rough Edges.
From blyssdental.com
Types of Dental Crowns Insider Tips to Choose the Best One for You Dental Crown Rough Edges learn about all the possible causes of dental crown tooth pain and how to relieve it. feeling rough edges, noticing visible cracks, or chips in the crown are clear indicators that the crown may need repair. in summary, yes, a temporary crown can cause pain or discomfort due to sensitivity, rough edges, inadequate fit, or. my. Dental Crown Rough Edges.
From theelitedental.com
TYPES OF DENTAL CROWNS FOR DIFFERENT PATIENTS ELITE DENTAL CARE TRACY Dental Crown Rough Edges learn about all the possible causes of dental crown tooth pain and how to relieve it. You might experience some discomfort after. One of the most common issues patients encounter after getting a dental crown is discomfort. feeling rough edges, noticing visible cracks, or chips in the crown are clear indicators that the crown may need repair. Crowns. Dental Crown Rough Edges.
From ar.inspiredpencil.com
Zirconia Crown Prep Dental Crown Rough Edges learn about all the possible causes of dental crown tooth pain and how to relieve it. in summary, yes, a temporary crown can cause pain or discomfort due to sensitivity, rough edges, inadequate fit, or. It sounds unusual that your dentist would say it cannot fit. Crowns should not have jagged edges. My options were to replace the.. Dental Crown Rough Edges.
From www.dentaljuce.com
Incisor MC (PFM) Prep Enhanced Dental CPD Online Dental Crown Rough Edges My options were to replace the. my dentist told me felt a slight rough edge that was probably irritating the gums. You might experience some discomfort after. feeling rough edges, noticing visible cracks, or chips in the crown are clear indicators that the crown may need repair. One of the most common issues patients encounter after getting a. Dental Crown Rough Edges.
From dentistry.co.uk
Incisal edge design on lithium disilicate crowns Dentistry Dental Crown Rough Edges in summary, yes, a temporary crown can cause pain or discomfort due to sensitivity, rough edges, inadequate fit, or. You might experience some discomfort after. feeling rough edges, noticing visible cracks, or chips in the crown are clear indicators that the crown may need repair. My options were to replace the. learn about all the possible causes. Dental Crown Rough Edges.
From www.gentlecaredentistry.org
Do Crowns Get Cavities? Gentle Care Dentistry Dental Crown Rough Edges One of the most common issues patients encounter after getting a dental crown is discomfort. Crowns should not have jagged edges. You might experience some discomfort after. My options were to replace the. feeling rough edges, noticing visible cracks, or chips in the crown are clear indicators that the crown may need repair. my dentist told me felt. Dental Crown Rough Edges.
From www.pinterest.com
Crown preparation Dental crowns, Dental bridge, Dental Dental Crown Rough Edges It sounds unusual that your dentist would say it cannot fit. My options were to replace the. feeling rough edges, noticing visible cracks, or chips in the crown are clear indicators that the crown may need repair. You might experience some discomfort after. my dentist told me felt a slight rough edge that was probably irritating the gums.. Dental Crown Rough Edges.
From www.youtube.com
PASS THE CDCA All Ceramic Anterior Crown Preparation My Dental Key Dental Crown Rough Edges One of the most common issues patients encounter after getting a dental crown is discomfort. Crowns should not have jagged edges. feeling rough edges, noticing visible cracks, or chips in the crown are clear indicators that the crown may need repair. It sounds unusual that your dentist would say it cannot fit. in summary, yes, a temporary crown. Dental Crown Rough Edges.
From www.researchgate.net
Uneven crown margins. Uneven, chipped or rough crown margins were Dental Crown Rough Edges learn about all the possible causes of dental crown tooth pain and how to relieve it. feeling rough edges, noticing visible cracks, or chips in the crown are clear indicators that the crown may need repair. It sounds unusual that your dentist would say it cannot fit. My options were to replace the. my dentist told me. Dental Crown Rough Edges.
From www.pinterest.com.mx
Glistening Dental Crowns Before And After Pictures dentista Dental Crown Rough Edges You might experience some discomfort after. feeling rough edges, noticing visible cracks, or chips in the crown are clear indicators that the crown may need repair. my dentist told me felt a slight rough edge that was probably irritating the gums. It sounds unusual that your dentist would say it cannot fit. in summary, yes, a temporary. Dental Crown Rough Edges.
From mungfali.com
Metal Crown Teeth Dental Crown Rough Edges One of the most common issues patients encounter after getting a dental crown is discomfort. in summary, yes, a temporary crown can cause pain or discomfort due to sensitivity, rough edges, inadequate fit, or. feeling rough edges, noticing visible cracks, or chips in the crown are clear indicators that the crown may need repair. You might experience some. Dental Crown Rough Edges.
From forums.studentdoctor.net
Materials for Anterior Crowns? Student Doctor Network Dental Crown Rough Edges in summary, yes, a temporary crown can cause pain or discomfort due to sensitivity, rough edges, inadequate fit, or. feeling rough edges, noticing visible cracks, or chips in the crown are clear indicators that the crown may need repair. learn about all the possible causes of dental crown tooth pain and how to relieve it. My options. Dental Crown Rough Edges.